探索多模态医学人工智能平台

集成人工智能相关技术于一个平台中,以图像标注、分割、组学特征提取、分析预测为主线,以影像组学特征为基础,融合基因、病理等多模态医学数据,研究临床问题,提高医学科研的效率和质量

探索多模态医学人工智能平台是面向医疗人工智能研究的集成式、一体化的开放平台。提供专业化、流程化、自动化、可视化的AI应用工具,支撑医疗人工智能研究路径探索、自动化数据处理、无代码AI算法开发、场景化大模型应用、多模态数据分析等。覆盖从课题的立项到数据的收集、处理,再到算法研发、模型构建以及最终成果的展示与管理等科研任务,为研究者提供全流程的服务和支持。

平台通过灵活的基础设施和资源,将机器学习、深度学习、大模型等人工智能技术与数据处理、特征提取、科学计算、模型构建、数据分析等科研方法相融合,为医学科研人员提供强大而全面的技术支持。提供的流程化、自动化、可视化的AI应用工具,帮助用户快速尝试、验证各种可行性,快速地将最佳的研究路径与研究方法应用到医学科研中,提升研究效率。

平台提供全流程、全功能的医疗AI算法训练支持,以可视化流水线的直观形式,提供了网络结构设计、模型配置、模型训练、模型部署、模型应用全流程的AI能力,无论是机器学习算法、深度学习算法、或是场景化大模型,都可以在平台中顺场地完成训练或调整。把AI算法的开发工作从专业人员手工、代码为主的工作方式改变为工程化、流程化、自动化、无代码的方式,赋能非专业人员完成专业人员的工作。

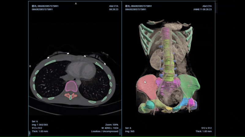
平台支持处理来自不同医疗系统和设备的多模态数据,包括医学影像(如X光片、CT、MRI等)和文本数据(如人口学、检查、诊断信息等)等,能够高效地对数据进行整合及加工处理,为医学科研的数据建模和数据分析提供准确可靠的数据基础。利用机器学习、深度学习、场景化大模型等人工智能技术,能够发现隐藏在数据中的深层次的特征以及数据之间的关联,并通过对大量数据的综合处理、建模与分析,为科研人员提供有价值的见解,帮助用户输出高质量的数据、优秀的模型和可靠的分析结果。

平台通过合理的课题和任务的组织方式,实现多人多团队共同参与课题,可根据实际课题需要进行任务分解,明确任务分工及任务优先顺序,确保关键任务能够得到优先处理,并促使科研人员按照指定的时间有条不紊地完成分配的任务,通过任务状态及进度的跟踪,随时了解并根据任务的完成情况,帮助科研人员更好地把握课题的进度和方向,促进了多人多团队共同参与科研课题的效率和效果。

通过我们先进的AI算法共享平台,能够将临床医生和研究人员构建的科研模型、第三方模型、论文发表模型、历史遗留模型资产整合到一起,可以实现算法自动推荐、算法分享,用户也可以对算法进行评价,创造AI算法的转化价值。在我们平台中研发的算法也可以封装打包,以标准的格式导出,部署到第三方平台使用,为医疗AI科研成果转化搭建桥梁。

联系我们

欢迎致电4006556789,或通过在线方式与我们联系

close

关闭